患者,男,65 岁,因“上腹痛5 个月余”入院。患者于5 个月前无明显诱因开始出现上腹痛,为持续性隐痛,夜间明显,无向他处放射,与体位改变无关,无发热,无反酸、嗳气,无恶心、呕吐,无腹胀、腹泻,无尿频、尿急、尿痛。在当地医院行上腹部CT 增强扫描提示胰颈及体尾部肿胀,密度减低,包膜增厚并轻中度持续强化,考虑AIP、胰腺弥漫型肿瘤。给予对症治疗后症状无改善,故来我院就诊。
入院查体: 体温36. 5 ℃,心率88 次/min,呼吸20 次/min,血压114 /75 mm Hg (1mm Hg = 0. 133 kPa) ; 意识清,对答切题; 全身皮肤及巩膜轻度黄染,全身浅表淋巴结未扪及肿大; 心肺听诊(-) ; 腹平软。
实验室检查: 血尿淀粉酶无升高;自身免疫指标无异常; 糖类抗原19-9( CA19-9) 51 U/ml ( 电化学发光法,参考值0~27 U/ml) ;

注: A 为T1 信号,B 为T2 信号; 见胰体尾部强化幅度明显减弱,呈轻度持续缓慢强化,呈明显低信号,病变区域胰腺周围见包膜样明显强化,局部胰腺呈腊肠样改变,胰尾部见小串珠状扩张胰管
上腹部MRI/MRCP检查结果
上腹部MRI 示胰腺增大,胰头信号大致正常,胰体尾部信号异常,T2 信号稍高,T1 等信号,增强后胰头实质强化均匀,胰体尾部强化幅度明显减弱,呈轻度持续缓慢强化,呈明显低信号,病变区域胰腺周围见包膜样明显强化,局部胰腺呈腊肠样改变,胰尾部见小串珠状扩张胰管,余区域胰管未见扩张。
磁共振胰胆管造影( MRCP)示肝内外胆管走行、分布未见明显异常,肝内外胆管未见明显扩张及狭窄; 胰尾部分支胰管见小串珠状稍扩张,余胰管未见扩张。
影像学诊断: 胰腺改变,炎症性病变可能性大,AIP 可能性大; 肠系膜上静脉近心端及脾静脉闭塞可能; 胰尾部胰管轻微扩张,建议密切随访。
以下为胃镜和超声胃镜检查结果:

注: A 为胃镜,示慢性浅表性胃炎,十二指肠球部息肉; B 为超声胃镜,示胰腺回声增粗,胰管呈串珠状扩张
胃镜和超声胃镜检查结果
胃镜检查示慢性浅表性胃炎,十二指肠球部息肉。结肠镜检查示结肠多发息肉。超声胃镜检查示胰头、胰体回声增粗,呈混合回声改变,内可见高回声斑点,胰头厚约2.6 cm,胰管未见扩张,直径约2.0mm; 胰尾回声增粗,胰管呈串珠状扩张,直径约3 mm; 胆总管未见扩张,直径约5mm; 胰腺周围及贲门部腹主动脉旁未见肿大淋巴结。
初步诊断及处置:
考虑胰腺改变,慢性胰腺炎可能。为进一步明确诊断,建议患者行胰腺穿刺,患者及其家人考虑到穿刺风险,表示暂不考虑行胰腺穿刺。遂拟诊AIP,除抑酸护胃、补充胰酶、止痛等对症处理外,加用甲泼尼龙片( 美卓乐) 30mg /d。患者住院期间出现顽固性低钠血症,完善垂体MRI 检查未见垂体异常,予托伐普坦片( 苏麦卡) 口服后血钠升至正常。患者自觉腹痛缓解出院,嘱其定期复查。
出院两周后患者自觉上腹痛无缓解,且夜间平卧时加重,弯腰或侧卧时减轻,故再次住院。入院后实验室检查: CA19-9 144 U/ml,糖化血红蛋白8.3%,免疫球蛋白G 正常,隐血试验阳性,空腹血糖和随机血糖均升高; 复查上腹部CT 示胰腺改变,结果如下:

注: A 为CT 平扫,B 为CT 增强扫描,示胰腺改变,胰腺周围淋巴结增大
上腹部CT 检查结果
诊断及处置:考虑慢性炎症性病变可能性大并肠系膜上静脉近心端及脾静脉闭塞,胰腺周围淋巴结增大。考虑与胰腺病变及激素治疗相关,遂停用激素,给予降糖治疗。综合考虑患者虽再次复查上腹部CT 仍提示慢性胰腺炎,但激素治疗效果欠佳,且入院监测空腹血糖及糖化血红蛋白水平升高,遂停用激素、予抑制胰酶分泌、抑酸护胃、补充胰酶、降糖等治疗,以使胰腺充分休息。
患者经上述处理后仍持续腹痛,且有屈膝位疼痛缓解的特点。
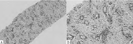
结合患者整个疾病治疗经过,考虑诊断尚未明确,不排除恶变可能,故再次与患者及其家人充分沟通,建议尽快行胰腺穿刺活检。患者于两个月后行经皮胰腺穿刺活检,病理回报如下:胰腺纤维组织中可见肿瘤,瘤细胞呈柱状,呈不规则腺样浸润性生长伴间质纤维反应性增生。

注: A 放大倍数为100 倍,B 放大倍数为200 倍,( 胰腺) 纤维组织中可见肿瘤,瘤细胞呈柱状,
呈不规则腺样浸润性生长伴间质纤维反应性增生
胰腺组织病理学检查结果
病理诊断: ( 胰腺) 腺癌,中分化。至此患者胰腺癌诊断明确,将疾病进展及预后告知家人,其与患者沟通后决定暂不考虑手术或化疗,办理出院,回当地行保守治疗。
作者:邓卫平,陈松,马娟
摘自:中国全科医学,2014,17 (16) :1920-1923.[www. chinagp. net]
讨论问题:如何在临床中避免自身免疫性胰腺炎与胰腺癌的误诊?
参与病例讨论,小编会随机抽取精彩评论送出神秘纪念品!